Le muscle poplité – Épisode 1 – L’anatomie
Introduction
La zone postéro-latérale du genou comprend :
- la bande ilio-tibiale,
- la jonction de la courte et longue portion du muscle biceps fémoral,
- le ligament collatéral fibulaire,
- la capsule postérieure,
- le tendon poplité (PLT),
- le ligament poplitéo-fibulaire (PFL),
- le ligament fabello-fibulaire,
- le ligament coronaire latéral.
Le muscle poplité est donc l’un des éléments du point d’angle postéro-latéral du genou (PAPL) (Fig. 1).

Pour certains, son rôle est si important qu’il a été nommé cinquième ligament du genou. C’est un muscle rotateur médial, stabilisateur latéral principal du genou. Ses rapports anatomiques sont complexes. L’atteinte du PAPL est fréquente lors de la rupture du ligament croisé antérieur.
Anatomie
Le tendon du poplité et le ligament poplitéo-fibulaire
Le tendon du poplité prend son origine dans la fossette du poplité, en arrière du tubercule de la face latérale du condyle latéral, en avant et juste en dessous de l’insertion supérieure du ligament collatéral latéral. Il décrit un trajet en bas et en dedans : il est tout d’abord intra-articulaire, mais extra-synovial, puis il passe dans le hiatus poplité du ménisque latéral, ensuite sous le ligament poplité arqué et devient extra-articulaire.
Le tendon du poplité est composé de deux parties :
- les fibres antérieures se tendent lorsque le genou est fléchi
- et les fibres postérieures sont détendues.
Ce phénomène est plus prononcé quand le tibia est en rotation latérale. Le point médian entre la partie postérieure et antérieure d’insertion des fibres sur le fémur apparaît être un point isométrique du tendon du poplité.
L’insertion du tendon du poplité est renforcée par des fibres s’insérant sur la tête de la fibula. On lui donne le nom de ligament poplitéo-fibulaire (PFL).
Le muscle poplité
Le muscle poplité, lui faisant suite, vient s’insérer sur la face postérieure du tibia en un triangle au-dessus de la ligne oblique (ou ligne du poplité). Le ventre du muscle forme la partie inférieure du plancher de la fosse poplitée et s’insère dans une grande partie de la surface postérieure du tibia au-dessus de la ligne soléaire. Il est innervé par une branche du sciatique poplité interne.
Les autres ligaments
- Le ligament collatéral latéral (LCL) est tendu du tubercule condylien latéral jusqu’à la tête de la fibula. Son insertion distale est cravatée par les deux insertions principales du biceps fémoral.
- Le ligament arqué est présent dans 48 % des cas. C’est une fine bande triangulaire de fibres capsulaires qui prend son origine à la partie postérieure de la tête de la fibula et s’étend vers le haut et l’arrière en dedans et au-dessus du tendon poplité fusionnant en éventail avec les fibres capsulaires postérieures.
- Le ligament fabello-fibulaire, présent dans 51 % des cas, est tendu de la fabella située à la partie postéro-latérale du condyle latéral jusqu’à la tête de la fibula. Il est tendu quand le genou est en extension (1).
L’IRM
L’IRM a été la technique de choix pour décrire les différents éléments du point d’angle postéro-externe dont fait partie le poplité. Plusieurs études sur cadavre ont permis de mieux comprendre les rapports entre les différents composants du PAPL et, concernant le poplité, de repérer les ligaments courts (poplitéo-fibulaire et ménisco-poplité). Certains auteurs ont proposé des coupes coronales obliques pour essayer de mieux visualiser ces ligaments, d’autres des séquences 3D isotopiques.
L’examen de routine
L’examen de routine comporte des coupes dans les trois plans de l’espace en densité de proton avec saturation du signal de la graisse de 3 à 3,5 mm d’épaisseur, et une séquence au moins en T1 le plus souvent dans le plan sagittal. Pour visualiser le muscle poplité, les coupes doivent descendre suffisamment bas. La présence d’un épanchement permet de mieux cerner les différents ligaments.
En pratique
Les tendons normaux sont en hyposignal, quel que soit le type de séquence. Les anomalies apparaitront en hypersignal sur la séquence DPFAT SAT.
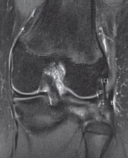
- Le muscle poplité est profond à la face postérieure du tibia (Fig. 2).

- La jonction myotendineuse se fait souvent par deux lames tendineuses convergentes (Fig. 3). Ces dernières seront vues au mieux sur des coupes coronales. Puis, le tendon rejoint la fossette du poplité (Fig. 4), au bord latéral du condyle, en passant dans le hiatus poplité puis sous le ligament arqué (Fig. 5).



- Les faces supérieure et inférieure du hiatus poplité sont constituées par les ligaments ménisco-poplités supérieur et inférieur. Le tendon du poplité est lié à la fibula par le ligament poplitéo-fibulaire (Fig. 6).

- Les ligaments courts peuvent être repérés sur une IRM de routine, mais de façon inconstante. Leur atteinte sera suspectée sur des signes indirects : fracture ou avulsion de la tête de la fibula.
L’échographie peut visualiser le tendon du poplité dans sa fossette, mais il devient ensuite profond ainsi que le muscle, en arrière des gastrocnémiens. Pour l’étudier, il ne faut pas hésiter à choisir une sonde de fréquence inférieure pour aborder la jonction myotendineuse et le muscle.
L’IRM reste le premier examen de routine en particulier pour l’exploration d’un genou traumatique aigu (2-6).
Retrouvez les épisodes 2 (les anomalies anatomiques et la biomécanique) et 3 (les pathologies) prochainement.
Bibliographie
- WatanabeY, Moriya H, Takahashi K. Fonctionnal anatomy of postero lateral structures of the knee. Arthroscopy 1993 ; 9 : 57-62.
- Bencardino JT, Rosenberg ZS, Brown RR et al. Traumatic musculotendinous injuries of the knee: diagnosis with MR imaging. Radiographics 2000 ; 20 : S103-20.
- Recondo JA. Salvador E, Villanua JA. Lateral stabilizing structures of the knee: functional anatomy and injuries assessed with MR imaging. Radiographics 2000 ; 20 : S91-102.
- De Maesseneer M, Van Roy P, Shahabpour M et al. Normal anatomy and pathology of the posterior capsular area of the knee: findings in cadaveric specimen and in patients. AJR 2004 ; 18 : 955-62.
- Munshi M, Pretterklieber ML, Kwak S et al. MR imaging, MR arthrography, and specimen correlation of the posterolateral corner of the knee. AJR 2003 ; 180 : 1095-101.
- Sakai H, Sasho T, Wada Y et al. MRI of the poplite meniscal fasciculi. AJR 2006 ; 186 : 460-6.