
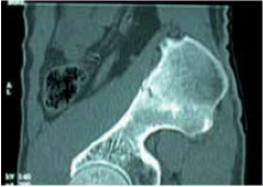
TDM à deux mois.
Diagnostic et prise en charge : des astuces pour vous aider dans votre pratique quotidienne.
Découvrez des sportifs et des médecins qui nous parlent de leur pratique.
Tenez-vous informé des dernières actualités concernant les différents évènements : Journée raphaëloise de médecine, Congrès médecine et tennis, Journée de traumatologie du sport…
Testez vos connaissances dans différents domaines avec des quiz scientifiques interactifs !
Retrouvez tous les évènements nationaux et internationaux en médecine et en traumatologie du sport.
Vous trouverez réponse à toutes vos questions qui concernent la réglementation et votre pratique quotidienne.
Grâce à des diaporamas directement commentés par les médecins, restez informez sur votre pratique.
Retrouvez les points clés des dernières études scientifiques qui pourront vous guider dans votre pratique quotidienne.
Cet espace vous permet d’échanger autour d’une question pratique, d’études, de cas cliniques, avec vos confrères.
© Expressions Santé